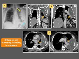
Loculated Pleural Effusion X Ray - Solution To Unknown Case 23 Empyema Loculated Pleural Effusion Radiologypics Com : The hilum is visible through the mass.

Loculated Pleural Effusion X Ray - Solution To Unknown Case 23 Empyema Loculated Pleural Effusion Radiologypics Com : The hilum is visible through the mass.. If the fluid cannot be drained, the lungs aren't able to expand and oxygenate the blood sufficiently. This case highlights the atypical but unique presentation of a transudative pleural effusion and demonstrates the risk of repeated thoracocentesis complicating a simple clinical. Loculated effusions suggest empyema in the proper clinical context, but the diagnosis must be confirmed with thoracentesis. The right pe was larger and loculated (by ultrasound). There is a wide differential for mediastinal masses.

This case highlights the atypical but unique presentation of a transudative pleural effusion and demonstrates the risk of repeated thoracocentesis complicating a simple clinical. Pleural effusion with nodes or mass or lytic bone lesions: A loculated effusion can't be safely tapped; A pleural effusion is a collection of fluid in the space between your chest wall and lungs. Pleural effusion with a missing breast suggesting resection for cancer :

Pleural Effusion
Pleural Effusion from www.stritch.luc.edu
Pleural effusions are characterized on ct by attenuation values between those of water (0 hounsfield units hu) and soft tissue (approximately 100 hu), typically in the order of 10 to 20 hu. Pocus demonstrated a large right sided loculated pleural effusion with associated septations and surrounding consolidation suggestive of a parapneumonic effusion. This is for educational purpose. A right thoracentesis was performed, and on seeing the biochemistry results, the left side was also punctured. Loculated effusion • pleural effusions can loculate as a result of adhesions Loculated pleural effusions can occur in isolation and, as in this case, be idiopathic. Pet and mri scans provide even further detail and may be used to differentiate pleural thickening from malignant mesothelioma. 1) to see if loculated or free fluid 2) to determine if enough volume to do a thoracocentesis (volume required is greater than 1cm)

02, 2015 37,660 views prepared by medical student of nepal.

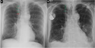
Loculated pleural fluid in a fissure can mimic a pulmonary mass and hence is sometimes referred to as a pseudomass or pseudotumor. Pleural effusion predominantly presents with breathlessness, but cough and pleuritic chest pain can be a feature. Blunting of the lateral costophrenic angle usually requires about 175 ml but may take as much as 500 ml. However, if the fluid has accumulated in this cavity, an opacity in this space is visible. Pet and mri scans provide even further detail and may be used to differentiate pleural thickening from malignant mesothelioma. Pocus demonstrated a large right sided loculated pleural effusion with associated septations and surrounding consolidation suggestive of a parapneumonic effusion. Pleural effusion with a missing breast suggesting resection for cancer : 1) to see if loculated or free fluid 2) to determine if enough volume to do a thoracocentesis (volume required is greater than 1cm) A pleural effusion is a collection of fluid in the space between your chest wall and lungs. Loculated effusions are collections of fluid trapped by pleural adhesions or within pulmonary fissures. 02, 2015 37,660 views prepared by medical student of nepal. Loculated pleural effusions can occur in isolation and, as in this case, be idiopathic. An ultrasound, chest computed tomogr.

Pleural effusion with nodes or mass or lytic bone lesions: Loculated effusions are defined as effusions that do not shift freely in the pleural space and occur in children with empyema when there are adhesions between the visceral and parietal pleura 5. Loculated pleural effusion causing pseudomass. Pleural effusion with apical infiltrates: The hilum is visible through the mass.

Epos Trade
Epos Trade from epos.myesr.org
The patient may have unrelated symptoms due to the disease or condition that has caused the effusion.symptoms of pleural effusion include: Loculated effusions suggest empyema in the proper clinical context, but the diagnosis must be confirmed with thoracentesis. An ultrasound, chest computed tomogr. Loculated pleural effusion causing pseudomass. Blunting of the lateral costophrenic angle usually requires about 175 ml but may take as much as 500 ml. Treatment may fail if the catheter is not placed optimally within the loculation or if the fluid is hemorrhagic or fibrinous. We studied the value of transca … Loculated pleural fluid in a fissure can mimic a pulmonary mass and hence is sometimes referred to as a pseudomass or pseudotumor.

Pleural effusions are characterized on ct by attenuation values between those of water (0 hounsfield units hu) and soft tissue (approximately 100 hu), typically in the order of 10 to 20 hu.

Pleural effusions are characterized on ct by attenuation values between those of water (0 hounsfield units hu) and soft tissue (approximately 100 hu), typically in the order of 10 to 20 hu. Pleural effusion symptoms are still in x ray even after 6 month treatment. A pleural effusion is a collection of fluid in the space between your chest wall and lungs. Loculated pleural effusion masquerading as mediastinal tumour had been reported but pleural effusion that conformed to the contour of a lung lobe is rare (5,6). If the fluid cannot be drained, the lungs aren't able to expand and oxygenate the blood sufficiently. The aetiology of the pleural effusion determines other signs and symptoms. Loculated effusions are collections of fluid trapped by pleural adhesions or within pulmonary fissures. Pleural effusion with apical infiltrates: A ct scan, which is also used to diagnose asbestosis and pleural plaques, can confirm the condition earlier. Pleural effusion is when fluid fills this gap and separates the lungs from the chest wall. Fibrotic scar tissue may form in the pleural cavity (called loculation), preventing effective drainage of the fluid. 02, 2015 37,660 views prepared by medical student of nepal. Erleben sie zuverlässige pharmazeutische beratung.

There is a wide differential for mediastinal masses. We present a unique case in which a patient presented to the ed in respiratory distress. Loculated pleural effusion causing pseudomass. We studied the value of transca … Chest radiographs are the most commonly used examination to assess for the presence of a pleural effusion;

Scielo Brasil Papel Da Ultra Sonografia Na Avaliacao Da Efusao Pleural Papel Da Ultra Sonografia Na Avaliacao Da Efusao Pleural
Scielo Brasil Papel Da Ultra Sonografia Na Avaliacao Da Efusao Pleural Papel Da Ultra Sonografia Na Avaliacao Da Efusao Pleural from minio.scielo.br
Loculated pleural effusions can occur in isolation and, as in this case, be idiopathic. The patient may have unrelated symptoms due to the disease or condition that has caused the effusion.symptoms of pleural effusion include: Dome shaped opacity projecting into the lung noted tracking along the cp angle and lateral chest wall suggestive of loculated pleural effusion, however the possibility of empyema can not be ruled out completely. Erleben sie zuverlässige pharmazeutische beratung. There is a wide differential for mediastinal masses. Pleural effusion with nodes or mass or lytic bone lesions: Pocus demonstrated a large right sided loculated pleural effusion with associated septations and surrounding consolidation suggestive of a parapneumonic effusion. Fibrotic scar tissue may form in the pleural cavity (called loculation), preventing effective drainage of the fluid.

Loculated effusions suggest empyema in the proper clinical context, but the diagnosis must be confirmed with thoracentesis.

Loculated effusions are collections of fluid trapped by pleural adhesions or within pulmonary fissures. Pleural effusion with a missing breast suggesting resection for cancer : Pocus demonstrated a large right sided loculated pleural effusion with associated septations and surrounding consolidation suggestive of a parapneumonic effusion. The excess accumulation of fluid can usually be seen on these images. Tried, tested, trusted and affordable for all qpcr needs. The hilum is visible through the mass. An ultrasound, chest computed tomogr. If the fluid cannot be drained, the lungs aren't able to expand and oxygenate the blood sufficiently. Chest radiographs are the most commonly used examination to assess for the presence of a pleural effusion; Pleural effusions are characterized on ct by attenuation values between those of water (0 hounsfield units hu) and soft tissue (approximately 100 hu), typically in the order of 10 to 20 hu. Dome shaped opacity projecting into the lung noted tracking along the cp angle and lateral chest wall suggestive of loculated pleural effusion, however the possibility of empyema can not be ruled out completely. Fibrotic scar tissue may form in the pleural cavity (called loculation), preventing effective drainage of the fluid. Treatment may fail if the catheter is not placed optimally within the loculation or if the fluid is hemorrhagic or fibrinous.

A lateral decubitus projection is most sensitive, able to identify even a small amount of fluid loculated pleural effusion. Pleural effusion predominantly presents with breathlessness, but cough and pleuritic chest pain can be a feature.
Posting Komentar (0)
Lebih baru Lebih lama